心臓外科に対応できる動物病院は限られています。
前橋市の桑原動物病院では、心臓・循環器分野に精通した獣医師が治療を行い、
僧帽弁形成術などの高度な外科手術にも対応しています。
Check List
このようなお悩みは
ありませんか?



心臓病の多くは薬で進行を抑える「内科治療」が中心です。
一方で、外科治療は「治す」ことを目的とした根本治療です。
特に僧帽弁閉鎖不全症では、外科的に弁を修復(僧帽弁形成術)することで、心臓の機能を回復させることができます。






8歳を超える小型犬の約8割がかかるとされる、最も多い心臓病です。
心臓の弁(僧帽弁)が変性し、血液が逆流してしまう病気です。
咳・呼吸が速い・疲れやすい・失神など。進行すると肺水腫を起こすこともあります。
初期は薬で心臓への負担を軽減させる内科治療が中心。
進行すると薬だけでは症状を抑えられなくなり、外科的に弁を修復する手術(僧帽弁形成術)が有効です。
生まれたときに閉じるはずの血管(動脈管)が開いたままになる先天性の病気です。
放置すると、左心系への負担が増え、心不全に進行します。
元気がない・咳・呼吸が速い・体重が増えないなど。若齢期に発見されることが多いです。
根本治療は外科的な血管結紮術(もしくはカテーテル閉鎖術)。
内科治療では進行を止めることができません。
猫で最も多い心臓病で、心臓の筋肉が厚くなり、血液を送り出す力が低下します。
遺伝性の要因も関係しており、特定の猫種(スコティッシュ・フォールド、メインクーンなど)で多くみられます。
呼吸が速い・開口呼吸・足の麻痺や冷感・突然倒れるなど。
基本は内科治療(心拍数のコントロール、血栓予防など)。
外科治療の対象にはなりにくいですが、他の心疾患との併発時に手術で血流を改善するケースもあります。
心臓のポンプ機能が低下し、肺に水が溜まって呼吸が苦しくなる状態です。
犬では僧帽弁閉鎖不全症、猫では心筋症が主な原因です。
呼吸が速い(1分間に30回以上)・咳・口を開けての呼吸・ぐったりする。
緊急時は酸素吸入や利尿薬による内科治療で肺の水を減らします。
慢性的に繰り返す場合は、根本原因である心臓病に対する外科治療(弁修復やPDA結紮)が必要になります。
心臓が全身に十分な血液を送れなくなった状態です。
咳、呼吸困難、食欲低下、失神などの症状を示します。
内科治療(強心薬・利尿薬・ACE阻害薬)を基本とし、重度の場合には外科的な血流改善手術やペースメーカー設置が検討されることもあります。
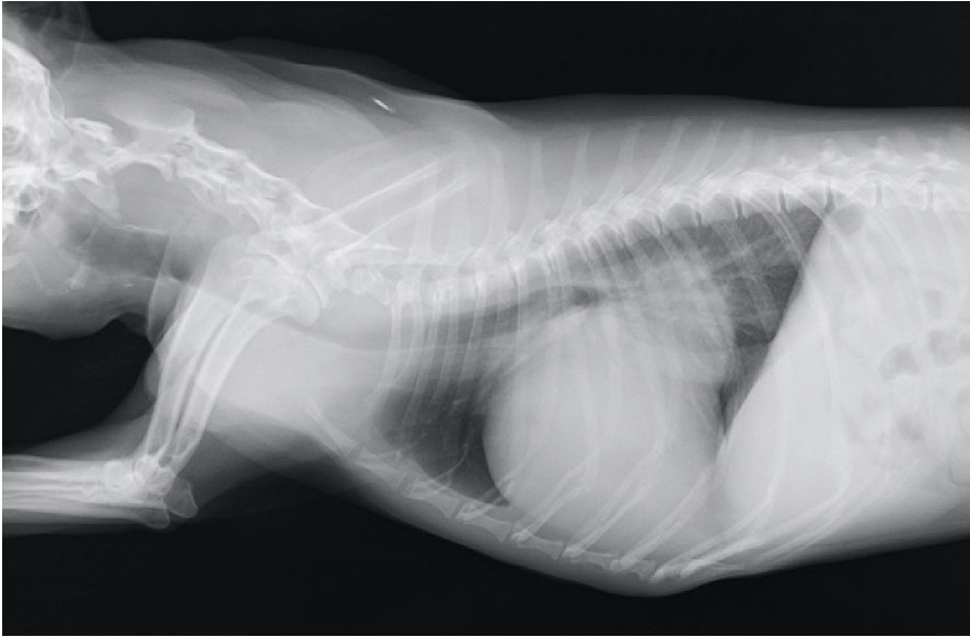
結紮前
結紮後
| 犬種 | ミニチュアダックスフント 3ヶ月 2.7kg 雌 |
|---|---|
| 初診時の症状 | 軽度の咳と運動後に呼吸が速くなるとのことで来院。身体検査では、連続性雑音が聴取されたため,心臓エコー検査を実施。 動脈管開存症(左-右短絡)と診断しました。 |
| 治療と経過 | 左側第4肋間開胸による動脈管結紮術を実施し,術後は集中治療室で酸素管理や投薬治療を行いました。順調に回復し、呼吸状態も安定。退院後は活発に動きまわり,元気に生活しています。 |
手術前
手術後
| 犬種 | マルチーズ 11歳 5kg |
|---|---|
| 治療と経過 | 術後には僧帽弁の逆流が大幅に減少あるいは消失することで、心臓への負担が軽減され術前と比較して心臓サイズが縮小します。多くの症例で術後1ヵ月以内に今まで飲んでいた循環器系の内服薬が不要となります。術後3ヵ月までは、術後血栓症のリスクがあるため抗血栓治療が必要となります。 |


不安な点や疑問点があれば、どんなことでも遠慮なくご相談ください。
「手術を強く勧める」ことはありません。納得のうえで決めていただくことを大切にしています。

手術日程の調整、前日の絶食・当日の流れなどもこの段階でご案内いたします。



| 初回循環器診察・ 検査料・内服薬 |
15,000〜30,000円 |
|---|---|
| 手術費用目安 | 1,500,000円〜1,800,000円 ※体重・病態により異なります |
| ペースメーカー 埋め込み術 |
500,000円〜 |
| 動脈管開存症手術 | 400,000円〜 |
| 肺動脈バルーン拡張術 | 300,000円〜 |
他院で診断済みの方の
セカンドオピニオンも受付中です